Las autoridades sanitarias eslovacas han abierto una investigación epidemiológica después de que un niño de 11 años muriera a raíz de una infección con la ameba Naegleria fowleri, un raro parásito que vive en aguas templadas.
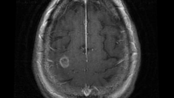
El peligro de este parásito radica en que, una vez que entra en la cavidad nasal, penetra a través del canal olfativo a través del hueso del cráneo hasta el cerebro, donde se multiplica y devora las células cerebrales.
Según informó el portal Aktuality.sk, el niño se habría infectado en la piscina pública de Sturovo, al sur del país, donde asistió a un curso de natación.
Tras contraer la rara enfermedad fue trasladado al Instituto Nacional de Enfermedades Infantiles (NÚDCH) en Bratislava, donde se le diagnosticó una meningoencefalitis amebiana primaria (PAM), causada por la ameba Naegleria fowleri.
Según los médicos, el joven pudo haber contraído la enfermedad durante el curso de natación en la citada piscina, que ha sido cerrada por precaución. Hasta el momento no se ha informado de otros casos.



